X Ray Ground Glass Appearance . In fact, ggo is a. These areas show increased density inside the lungs which could indicate. Ground glass looks hazy or cloudy compared to the normal dark lung. The finding can be one small spot all the way to involve the lungs throughout. Ground glass opacity (ggo) refers to the hazy gray areas that can show up in ct scans of the lungs.
from www.cureus.com
Ground glass looks hazy or cloudy compared to the normal dark lung. Ground glass opacity (ggo) refers to the hazy gray areas that can show up in ct scans of the lungs. The finding can be one small spot all the way to involve the lungs throughout. In fact, ggo is a. These areas show increased density inside the lungs which could indicate.
Cureus ClopidogrelAssociated Interstitial Lung Disease A Case
X Ray Ground Glass Appearance Ground glass opacity (ggo) refers to the hazy gray areas that can show up in ct scans of the lungs. The finding can be one small spot all the way to involve the lungs throughout. In fact, ggo is a. Ground glass looks hazy or cloudy compared to the normal dark lung. Ground glass opacity (ggo) refers to the hazy gray areas that can show up in ct scans of the lungs. These areas show increased density inside the lungs which could indicate.
From brieflands.com
Acute Severe Bilateral Visual Loss as Presenting Symptom of COVID19 X Ray Ground Glass Appearance These areas show increased density inside the lungs which could indicate. Ground glass looks hazy or cloudy compared to the normal dark lung. In fact, ggo is a. The finding can be one small spot all the way to involve the lungs throughout. Ground glass opacity (ggo) refers to the hazy gray areas that can show up in ct scans. X Ray Ground Glass Appearance.
From www.cureus.com
Cureus ClopidogrelAssociated Interstitial Lung Disease A Case X Ray Ground Glass Appearance These areas show increased density inside the lungs which could indicate. Ground glass looks hazy or cloudy compared to the normal dark lung. The finding can be one small spot all the way to involve the lungs throughout. In fact, ggo is a. Ground glass opacity (ggo) refers to the hazy gray areas that can show up in ct scans. X Ray Ground Glass Appearance.
From www.siemens-healthineers.com
Xray imaging for COVID19 patients X Ray Ground Glass Appearance These areas show increased density inside the lungs which could indicate. The finding can be one small spot all the way to involve the lungs throughout. Ground glass opacity (ggo) refers to the hazy gray areas that can show up in ct scans of the lungs. Ground glass looks hazy or cloudy compared to the normal dark lung. In fact,. X Ray Ground Glass Appearance.
From mavink.com
Ground Glass Opacity In Lungs On Chest X Ray X Ray Ground Glass Appearance Ground glass looks hazy or cloudy compared to the normal dark lung. These areas show increased density inside the lungs which could indicate. In fact, ggo is a. Ground glass opacity (ggo) refers to the hazy gray areas that can show up in ct scans of the lungs. The finding can be one small spot all the way to involve. X Ray Ground Glass Appearance.
From mavink.com
Ground Glass Opacities Chest X Ray X Ray Ground Glass Appearance Ground glass opacity (ggo) refers to the hazy gray areas that can show up in ct scans of the lungs. Ground glass looks hazy or cloudy compared to the normal dark lung. In fact, ggo is a. The finding can be one small spot all the way to involve the lungs throughout. These areas show increased density inside the lungs. X Ray Ground Glass Appearance.
From www.slideshare.net
Chest X Ray Interpretation X Ray Ground Glass Appearance Ground glass opacity (ggo) refers to the hazy gray areas that can show up in ct scans of the lungs. In fact, ggo is a. The finding can be one small spot all the way to involve the lungs throughout. Ground glass looks hazy or cloudy compared to the normal dark lung. These areas show increased density inside the lungs. X Ray Ground Glass Appearance.
From www.idcrawl.com
Ground Glass's Instagram, Twitter & Facebook on IDCrawl X Ray Ground Glass Appearance These areas show increased density inside the lungs which could indicate. Ground glass opacity (ggo) refers to the hazy gray areas that can show up in ct scans of the lungs. The finding can be one small spot all the way to involve the lungs throughout. In fact, ggo is a. Ground glass looks hazy or cloudy compared to the. X Ray Ground Glass Appearance.
From www.researchgate.net
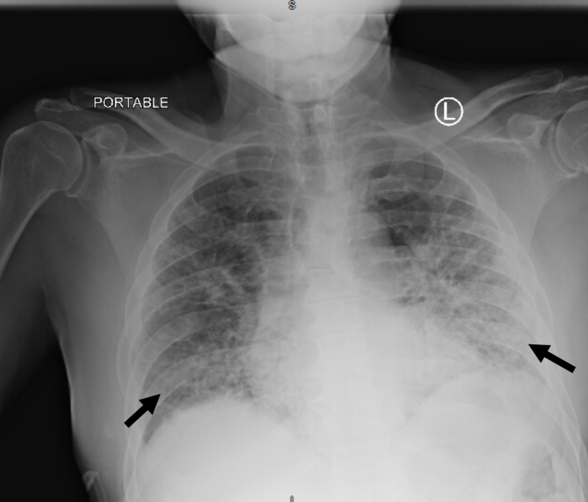
Groundglass appearance on chest Xray of a patient with hyaline X Ray Ground Glass Appearance Ground glass opacity (ggo) refers to the hazy gray areas that can show up in ct scans of the lungs. The finding can be one small spot all the way to involve the lungs throughout. Ground glass looks hazy or cloudy compared to the normal dark lung. In fact, ggo is a. These areas show increased density inside the lungs. X Ray Ground Glass Appearance.
From www.idcrawl.com
Ground Glass's Instagram, Twitter & Facebook on IDCrawl X Ray Ground Glass Appearance These areas show increased density inside the lungs which could indicate. The finding can be one small spot all the way to involve the lungs throughout. Ground glass looks hazy or cloudy compared to the normal dark lung. Ground glass opacity (ggo) refers to the hazy gray areas that can show up in ct scans of the lungs. In fact,. X Ray Ground Glass Appearance.
From www.cureus.com
Cureus Fatal in a KidneyPancreas Transplant Recipient With X Ray Ground Glass Appearance Ground glass opacity (ggo) refers to the hazy gray areas that can show up in ct scans of the lungs. The finding can be one small spot all the way to involve the lungs throughout. Ground glass looks hazy or cloudy compared to the normal dark lung. In fact, ggo is a. These areas show increased density inside the lungs. X Ray Ground Glass Appearance.
From www.researchgate.net
(A) Chest Xray on admission. Groundglass opacity (GGO) was observed X Ray Ground Glass Appearance The finding can be one small spot all the way to involve the lungs throughout. In fact, ggo is a. Ground glass opacity (ggo) refers to the hazy gray areas that can show up in ct scans of the lungs. Ground glass looks hazy or cloudy compared to the normal dark lung. These areas show increased density inside the lungs. X Ray Ground Glass Appearance.
From www.researchgate.net
Intraoral periapical radiograph showing ground glass appearance X Ray Ground Glass Appearance The finding can be one small spot all the way to involve the lungs throughout. These areas show increased density inside the lungs which could indicate. In fact, ggo is a. Ground glass opacity (ggo) refers to the hazy gray areas that can show up in ct scans of the lungs. Ground glass looks hazy or cloudy compared to the. X Ray Ground Glass Appearance.
From mavink.com
Ground Glass Opacity In Lungs X Ray X Ray Ground Glass Appearance These areas show increased density inside the lungs which could indicate. Ground glass looks hazy or cloudy compared to the normal dark lung. The finding can be one small spot all the way to involve the lungs throughout. In fact, ggo is a. Ground glass opacity (ggo) refers to the hazy gray areas that can show up in ct scans. X Ray Ground Glass Appearance.
From www.researchgate.net
On admission, the chest Xray shows multiple patchy groundglass X Ray Ground Glass Appearance In fact, ggo is a. Ground glass looks hazy or cloudy compared to the normal dark lung. These areas show increased density inside the lungs which could indicate. The finding can be one small spot all the way to involve the lungs throughout. Ground glass opacity (ggo) refers to the hazy gray areas that can show up in ct scans. X Ray Ground Glass Appearance.
From smw.ch
Imaging patterns of Pneumocystis jirovecii pneumonia in HIVpositive X Ray Ground Glass Appearance Ground glass opacity (ggo) refers to the hazy gray areas that can show up in ct scans of the lungs. In fact, ggo is a. The finding can be one small spot all the way to involve the lungs throughout. These areas show increased density inside the lungs which could indicate. Ground glass looks hazy or cloudy compared to the. X Ray Ground Glass Appearance.
From www.mdpi.com
Diagnostics Free FullText A Pictorial Review of the Role of X Ray Ground Glass Appearance These areas show increased density inside the lungs which could indicate. Ground glass opacity (ggo) refers to the hazy gray areas that can show up in ct scans of the lungs. In fact, ggo is a. The finding can be one small spot all the way to involve the lungs throughout. Ground glass looks hazy or cloudy compared to the. X Ray Ground Glass Appearance.
From www.cureus.com
Cureus Unexpected GroundGlass Opacities on Abdominopelvic CT of a X Ray Ground Glass Appearance Ground glass looks hazy or cloudy compared to the normal dark lung. These areas show increased density inside the lungs which could indicate. Ground glass opacity (ggo) refers to the hazy gray areas that can show up in ct scans of the lungs. The finding can be one small spot all the way to involve the lungs throughout. In fact,. X Ray Ground Glass Appearance.
From www.digitalawardzz.com
Ground Glass Opacity In Lungs Mayo Clinic Glass Designs X Ray Ground Glass Appearance Ground glass opacity (ggo) refers to the hazy gray areas that can show up in ct scans of the lungs. These areas show increased density inside the lungs which could indicate. In fact, ggo is a. The finding can be one small spot all the way to involve the lungs throughout. Ground glass looks hazy or cloudy compared to the. X Ray Ground Glass Appearance.